CosMediSmile Logo
  • About
    • Who We Are
    • Our Process
  • Packages
    • Porcelain Veneers
      • Gold Coast Veneers
      • Sydney Veneers
    • Dental Crowns
      • Gold Coast Crowns
      • Sydney Crowns
    • Travel
  • Before & Afters
  • FAQ
  • Payment Options
  • Blog
  • Contact
    • Enquire / Quote
    • Free Assessment
    • Book a Consult
    • Locations
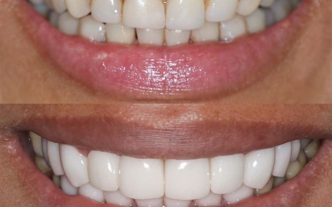
Smile Makeover 55

Smile Makeover 55

Feb 8, 2022 | Porcelain Veneer Results, Uncategorized

Before & After 55 Porcelain VeneersLocation: Gold Coast Treatment: 16 x Porcelain Veneers, Whitening + Check Up, Scale &...
Smile Makeover 54

Smile Makeover 54

Feb 8, 2022 | Dental Crown Results, Porcelain Veneer Results, Uncategorized

Before & After 54 Porcelain Veneers & Dental CrownLocation: Melbourne Treatment: 9 x Porcelain Veneers & 1 x Dental Crown, Whitening + Check Up, Scale &...
Smile Makeover 52

Smile Makeover 52

Jan 25, 2022 | Porcelain Veneer Results, Uncategorized

Before & After 52 Porcelain VeneersLocation: Melbourne Treatment: 8 x Porcelain Veneers, Whitening + Check Up, Scale &...
Smile Makeover 49

Smile Makeover 49

Jan 25, 2022 | Porcelain Veneer Results, Uncategorized

Before & After 49 Porcelain VeneersLocation: Gold Coast Treatment: 16 x Porcelain Veneers, Whitening + Check Up, Scale &...
Smile Makeover 48

Smile Makeover 48

Dec 3, 2021 | Porcelain Veneer Results, Uncategorized

Before & After 48 Porcelain VeneersLocation: Gold Coast Treatment: 8 x Porcelain Veneers in a natural style, shade BL3, Whitening + Check Up, Scale &...
Smile Makeover 47

Smile Makeover 47

Dec 3, 2021 | Dental Crown Results, Porcelain Veneer Results, Uncategorized

Before & After 47 Veneers & CrownsLocation: Gold Coast Treatment: 4 x Dental Crowns and 4 x Porcelain Veneers in a youthful style, shade BL4, Whitening + Check Up, Scale &...
« Older Entries
Next Entries »

Recent Posts

  • Introducing CosMediSmile Sydney
  • Smile Makeover 110
  • Smile Makeover 109
  • Smile Makeover 108
  • Smile Makeover 107

Let’s Get Started 

We’re Here To Help On 1300 000 633

Enquire Now
CosMediSmile Google Reviews

FIVE STAR CUSTOMER RATING
OVER 750 REVIEWS

  • Follow
  • Follow
  • Follow
  • Follow
  • Follow

All treatments carry risks & benefits. Before proceeding we recommend you seek a second opinion from a qualified health practitioner. *Weekly payment options are estimates to repay a personal loan at a rate of 17.99% p.a. over 5 years. CosMediSmile is not a credit provider and provides no financial advice. All funders are independent, external companies. Learn more. This information should not be regarded as a substitute for medical, legal or other professional advice. CosMediSmile accepts no legal liability arising from or connected to any material on this website or on any linked site.

Terms & Conditions   Privacy  Cancellation 

POPULAR PAGES

Gold Coast Porcelain Veneers
Sydney Porcelain Veneers
Porcelain Veneers
Dental Crowns

CosMediGroup Careers

© 2024 CosMediSmile All Rights Reserved
ABN 15 647 683 609