About
Who We Are
Our Process
Packages
Porcelain Veneers
Gold Coast Veneers
Sydney Veneers
Dental Crowns
Gold Coast Crowns
Sydney Crowns
Travel
Before & Afters
FAQ
Payment Options
Blog
Contact
Enquire / Quote
Free Assessment
Book a Consult
Locations
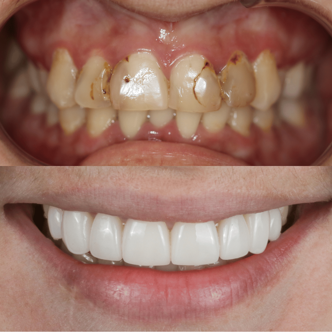
Before & After 88
Zirconia Crowns
Treatment:
8 x Zirconia Crowns, Whitening + Check Up, Scale & Clean
Recent Posts
Introducing CosMediSmile Sydney
Smile Makeover 110
Smile Makeover 109
Smile Makeover 108
Smile Makeover 107